Teeth Whitening in Alanya – A Brighter Smile in Just One Visit
Want a whiter, more radiant smile without breaking the bank? At Alanya Dental, we offer professional teeth whitening treatments that deliver instant results – trusted by patients for safety, speed, and satisfaction.
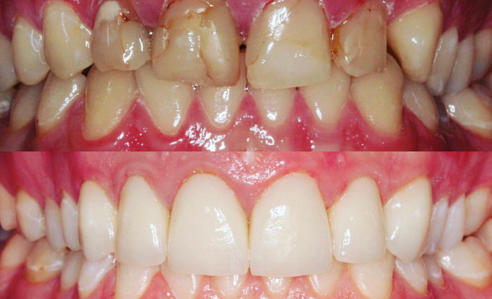
Professional teeth whitening is one of the fastest and most effective ways to enhance your smile. At Alanya Dental, we use clinically approved, non-invasive whitening systems that safely remove stains and discoloration from coffee, tea, smoking, or aging.
- In-Clinic Laser Teeth Whitening
- Safe, Painless Procedure in Just 45–60 Minutes
- Up to 8 Shades Whiter in One Session
- English-Speaking Dental Experts
- Affordable Prices – Far Cheaper Than UK Clinics
- Optional Take-Home Kits for Long-Term Results
Online simple step for appointment

01
Make Appointment
If you need any Help in booking an appointment, please call Us

02
Select Doctor
Select one from list and go through the doctor's profile and opined doctors

03
Get Consultation
Connect instantly with a 24x7 specialist or choose to video visit a particular doctor.

